第十四届CEC中国血管论坛暨2022年国家继续教育项目精心准备的手术病例直播时段,是众多血管外科医生如临现场观摩学习的好机会。每一台疑难病例、挑战病例的手术策略、规范化操作、术中问题处理、新器械应用分享,还有最具开创性新技术新理念的术式交流,全面展现了国内外血管疾病领域的治疗水平、前沿技术及最新进展。现将本届CEC大会精彩病例精选后为读者一一展示,供大家学习交流,希望对您的工作带来些许帮助。

[PAD患者选择、决策、优化]专场
病例名称:
脉管炎腘动脉假性动脉瘤的覆膜支架植入
术者姓名:
熊江 左尚维 贾森皓
脉管炎是血管壁的炎症损伤,可累及动脉和静脉,造成血管的狭窄、闭塞、血栓形成、动脉瘤病变等。脉管炎合并严重的血管病变往往需要开放手术或腔内治疗,并辅以抗炎、抗凝等药物治疗。
患者信息:男,22岁
现病史:突发左小腿疼痛,足趾发凉,感觉迟钝,运动受限3天
查体:
①踝部运动受限,肌力4级;
②足背及足趾散在花斑;
③足背及胫后动脉无法触及;
④腘窝触及7cm×4cm包块,搏动不清

既往史:2017年诊断“脉管炎”行药物灌注;2018年行“左侧腘动脉瘤切除+大隐静脉置换术”;2020年行“急性左下肢动脉栓塞切开取栓+左侧小腿筋膜切开减压”
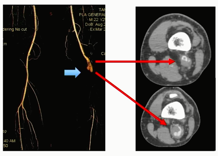
CTA:左侧腘动脉假性动脉瘤,动脉瘤以远血管闭塞,远端仅可见腓动脉及显影模糊的胫前动脉
诊断:左侧腘动脉假性动脉瘤伴远端闭塞

手术方案考量:由于患者的影像学特征、病理学特征和腘动脉手术史,最终选择腔内治疗。
翻山顺行开通腘动脉闭塞段,备腓动脉逆穿。
5F导管吸栓,4mm球囊扩张腘动脉。
5-7mm覆膜支架自远端腘动脉至股浅动脉植入。
1. 右侧股动脉穿刺,翻山顺行造影显示腘动脉瘤及以远闭塞,仅胫前动脉及腓动脉的近中段显影,踝关节处小腿动脉显影不良,通过侧枝与踝下动脉沟通;

2. 由于顺行无法到达远端真腔,因此从腓动脉逆穿送入V-18导丝,经18支撑导管造影寻找真腔;

3. 在路图指引下支撑导管配合V-18导丝探查腘动脉真腔,V-18导丝经腘动脉跨过假性动脉瘤到达近端股浅动脉真腔,穿管成功,建立股浅动脉至腓动脉通道;

4. 用5F导管抽吸腘动脉闭塞段,未吸出血栓;
5. 路图下4mm×200mm球囊扩张自腘动脉远端至假性动脉瘤上端,4个大气压时患者诉疼痛。造影见腘动脉未显影;

6. 将导管向远端推送跨过动脉瘤,造影见腘动脉P1P2交界处血管破裂,远端仍未显影;将导管推送至P2段,见造影剂外溢和远端夹层形成;

7. 造影发现腘动脉末端1cm可作为覆膜支架远端锚定区;自腘动脉末端至P1段置入5mm×100mm Viabahn;序贯置入7mm×100mm和7mm×50mm Viabahn,近端至内收肌管口水平,覆盖一个侧枝;6mm×200mm球囊后扩;

8.造影见动脉瘤消失、支架通畅、腘动脉远端狭窄和造影剂滞留;自近端将导丝置入腓动脉,3mm×60mm球囊扩张;造影见腓动脉形态良好,无造影剂滞留,见胫前动脉开口狭窄;

9. 入胫前动脉,3mm×60mm球囊扩张;由于脉管炎血管扩张后发生痉挛,予罂粟碱10mg后,胫前动脉和腓动脉近中段血流通畅,但仍存少量痉挛后狭窄,远端流出道通畅;

10. Perclose闭合穿刺点,术毕。
术后第2天患者左下肢皮温改善、花斑消失、可下地行走。
出院后予双抗、扩管、抗炎等治疗(波立维 75mg qd;利伐沙班 10mg qd;西洛他唑 100mg bid;银杏叶片 2片 bid)。
18个月彩超提示左股浅动脉至腘动脉覆膜支架通畅,腓动脉通畅。
点击观看手术回放
总 结
炎症动脉病变的发生、发展和转归的病理生理学机制依旧未明。
覆膜支架可以隔绝炎症血管,在维持通畅率方面可能优于裸支架。
伴有血栓形成且发生闭塞的腘动脉假性动脉瘤,顺行导丝较难进入远端真腔,双向会师技术有助于建立轨道。
腘动脉假性动脉瘤血栓形成,腔内覆膜支架植入具有较好的近中期通畅率,且闭塞后截肢率较低。
腘动脉覆膜支架植入的通畅率,需要良好的流出道和合理的抗栓方案。
END

联系我们:13910984996

投稿邮箱:cecappdrjx@163.com