[胸腹主动脉与内脏分支]专场
病例名称:
打破壁垒,挑战内脏区
——先健Futhrough™主动脉覆膜支架破膜系统顺行原位开窗治疗胸腹主夹层动脉瘤病例报道
术者姓名:
张鸿坤教授手术团队
单位:
浙江大学医学院附属第一医院 血管外科


病史资料


►►►患者:男性,52岁,胸腹主动脉夹层进行性增大
►►►既往病史:2018年3月因“主动脉夹层Ⅲ型”行主动脉单开窗,长期服用阿司匹林及阿托伐他汀。
►►►随访影像:患者降主动脉夹层逐渐增大,以假腔增大为主,夹层动脉瘤直径为5.2cm



术前检查


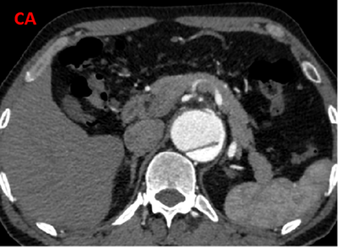
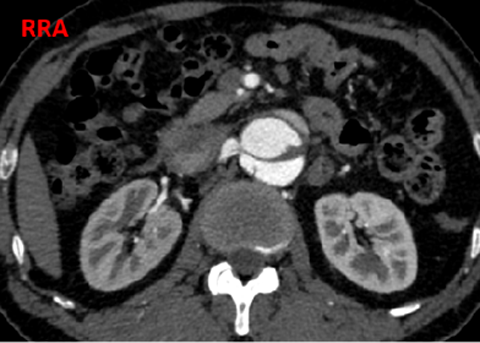
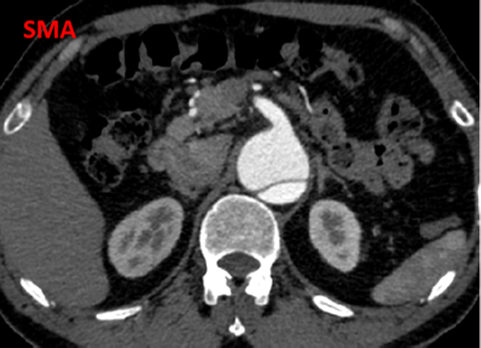
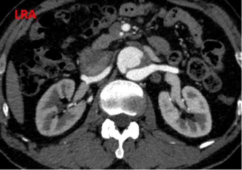
夹层近端封闭良好。夹层动脉瘤累及整个内脏区动脉,腹腔干、肠系膜上动脉假腔供血,腹腔干开口重度狭窄;右肾动脉真假腔供血,以假腔为主;左肾动脉真腔供血。肾下腹主动脉段无裂口,右侧髂外动脉存在裂口。
CT影像
左右滑动查看更多


手术策略


为降低截瘫风险和提供足够锚定长度,胸腹主动脉裂口区域选择先健Ankura®胸主动脉覆膜支架(30-24-180mm)进行封堵;右侧髂外动脉裂口通过戈尔Viabahn覆膜支架封堵。腹腔干拟采用烟囱技术,肠系膜上动脉及双肾动脉采用原位顺行开窗技术。先健Futhrough™主动脉覆膜支架破膜系统和先健Fustar™ 6F-550可调弯鞘用于分支重建,其中,除左肾动脉使用球扩裸支架重建外,其余动脉通过戈尔Viabahn覆膜支架。左肾动脉使用球扩裸支架原因有三:
● 左肾动脉真腔供血内漏风险小;
● 裸支架外径更细,可用较小French外鞘;
● 节省费用。

先健Futhrough™主动脉覆膜支架破膜系统

先健Ankura®胸主动脉覆膜支架


手术过程


1. 动脉入路选择
(1)夹层未累及左髂动脉,选择左股动脉入路造影及输送主体支架;
(2)选择右肱动脉入路超选入腹腔干并置入8F长鞘;
(3)左右两侧肾动脉分别通过左右肱动脉入路预置导丝;
(4)肠系膜上动脉完全假腔供血,血液可通过远端裂口灌注肠系膜上动脉,避免肠缺血,未做预留导丝。
(5)右髂外动脉存在夹层裂口,建立通路可用于假腔供血动脉造影及重建后假腔内漏的弹簧圈栓塞。

2. 腹腔干预扩
6mm球囊预扩张狭窄的腹腔干开口,并送入9*100mm 戈尔Viabahn覆膜支架
重建腹腔干


6mm球囊扩张
9*100mm Viabahn到位
3. 主体支架植入并腹腔干重建
先健Ankura®胸主覆膜支架30-24-180mm经左股动脉入路送入,定位于原支架远端4cm处释放。之后释放腹腔干预置烟囱支架,并予8mm球囊后扩。
主体释放


先健Ankura30-24-180mm
释放腹腔干Viabahn并予8mm球囊后扩
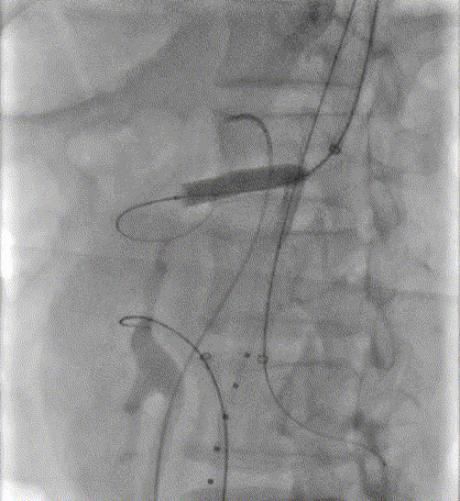
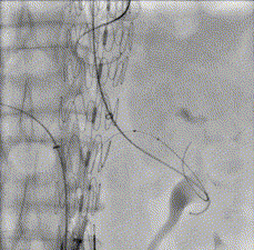
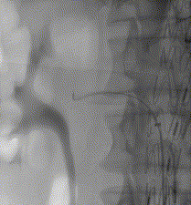
4. 重建左肾动脉
经左肾动脉内预置导丝指引,使用Rups-100和先健Futhrough™主动脉覆膜支架破膜系统顺行原位开窗,并依次使用奔腾4mm和6mm球囊对穿刺点进行扩张。交换超硬导丝后植入先健Fustar™ 6F 55cm可调弯鞘,释放百多力 Dynamic 7*19mm球扩裸支架。
左肾动脉重建
左右滑动查看更多
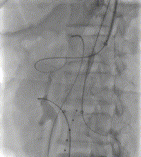
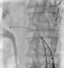
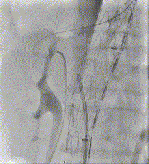
5. 重建右肾动脉
经右肾动脉内预置导丝指引,使用Rups-100和先健Futhrough™主动脉覆膜支架破膜系统穿刺假腔和主体支架,奔腾4mm球囊扩张穿刺点。MPA导管配合V18导丝在假腔中超选右肾动脉,通过球囊带鞘将长鞘跟进到右肾动脉,释放7*50mm Viabahn,6mm球囊扩张并造影。
右肾动脉重建
左右滑动查看更多
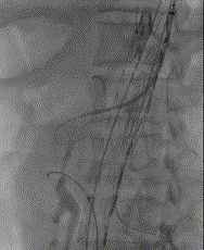
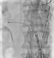
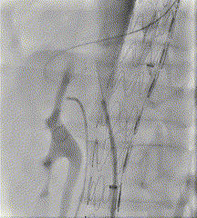
6. 重建肠系膜上动脉
通过事先预置在假腔内的导管选入肠系膜上动脉,作为开窗的指引。Rups-100搭配Futhrough™穿刺破膜,超选进肠系膜上动脉并使用奔腾2.5mm和4mm球囊扩张穿刺点。置入12F长鞘,送入并释放11*50mm Viabahn支架。
肠系膜上动脉重建
左右滑动查看更多
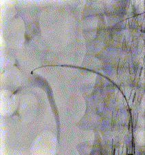
7. 右髂外动脉裂口封堵
11*50mm Viabahn封堵右髂外动脉裂口
夹层远端处理
左右滑动查看更多


手术结果


造影提示胸腹主动脉夹层封堵满意,假腔无显影,无内漏。分支动脉及髂动脉血流通畅。
最后造影




术后随访结果


术后1个月及3个月的CTA均提示胸腹主动脉重塑良好,无内漏,分支支架无狭窄闭塞。
术后1月CTA
术后3月CTA


点击观看手术回放
延展讨论
远端夹层动脉瘤形成是慢性主动脉夹层患者较为常见的远期并发症。胸腹主夹层动脉瘤的外科治疗难点在于重建内脏动脉和双肾动脉。
既往国内外胸腹主动脉瘤的腔内治疗已有较多报道,分支重建的治疗器械和方式不仅包括定制预开窗支架、原位开窗技术也包括“off-the-shelf”多分支支架,但胸腹主夹层动脉瘤的腔内治疗报道较少。本中心已应用先健Futhrough™主动脉覆膜支架破膜系统通过顺行原位开窗技术成功治疗多例胸腹主夹层动脉瘤,证明顺行原位开窗技术用于胸腹主夹层动脉瘤的内脏动脉重建是可行的,其安全性和有效性需要更多样本进行验证。
除此之外,术中分支动脉定位、原位开窗仍是操作难点所在,操作者应根据学习曲线从简单病例开始逐步掌握原位开窗及分支重建技术。工欲善其事,必先利其器。先健Ankura®胸主动脉覆膜支架、先健Futhrough™主动脉覆膜支架破膜系统和先健Fustar™ 6F-550可调弯鞘,在顺行原位开窗中有很大的优势。专用开窗器具和相关影像支持技术也需要我们进一步去开发探索。
术者介绍
讲者介绍
END

联系我们:13910984996

投稿邮箱:cecappdrjx@163.com


























