[血透通路维护篇]专场
病例名称:
头静脉弓狭窄球囊扩张支架植入术
术者姓名:
李林 魏宗强 李俊龙
青岛大学附属海慈医院


病例摘要


患者:女性,75岁
主诉:右上肢透析静脉压升高、止血困难1天
既往史:血液透析17年,曾多次行双上肢内瘘成形术;近日因右侧肱动脉头静脉吻合口重度狭窄行6mm高压球囊扩张,同期发现头静脉弓重度狭窄,未处理
危险因素:高血压病、慢性肾衰竭尿毒症期
查体:双上肢多处手术瘢痕,右上肢无明显水肿,右肘部吻合口处可触及轻微震颤,右上臂头静脉迂曲扩张,举臂试验(+)
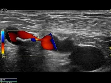
超声:右股动脉血流量499ml/min,右头静脉弓重度狭窄,最窄处病变直径约1mm
诊断:右侧头静脉弓狭窄




治疗方案


头静脉弓狭窄球囊扩张术(备支架植入术)
主要器械
归创 6mm×40mm ZENFLOW® HP球囊扩张导管
归创 8mm×60mm ZENFLOW® HP球囊扩张导管
GORE 7mm×59mm VIABAHN® VBX球扩覆膜支架


手术过程


1/ 超声引导下顺行穿刺右上臂头静脉,置入8F血管鞘,建立入路;
2/ 自血管鞘造影示头静脉弓病变位置,路图下导丝导管配合通过病变,并将交换导丝引入下腔静脉;


3/ 选用6mm×40mm及8mm×60mm ZENFLOW® HP(归创)球囊扩张导管依次扩张头静脉弓狭窄段;

6mm×40mm

8mm×60mm
4/ 造影示头静脉弓破裂,遂植入7mm×59mm VBX(GORE)球扩覆膜支架;



5/ 多角度造影评估支架位置及形态,触摸吻合口震颤良好,缝合穿刺点,术毕。


手术结果


右上肢透析静脉血流量恢复正常,静脉压恢复正常,右肱动脉血流达1198ml/min。
点击观看手术回放
手术小结
●透析通路头静脉弓狭窄性病变中抵抗性狭窄发生率高达50%-60%,腔内治疗时应选用高压球囊扩张。
●头静脉弓狭窄PTA治疗中破裂发生率高达16%,递增性扩张是预防破裂的有效手段,同时需准备覆膜支架应对术中破裂。
术者介绍
END

联系我们:13910984996

投稿邮箱:cecappdrjx@163.com
