【优化TEVAR疗效】专场
演讲题目:
主动脉弓部病变合并迷走右锁骨下动脉的术中处理
演讲嘉宾:
赵文军教授
单位:
浙江省台州医院
临床表现
大多数迷走右锁骨下动脉患者可无临床症状,往往是在食管造影或头颈部 CTA 检查时偶然发现;
有极少数成年患者会出现吞咽困难,是因该动脉行经食管后方并对其产生外在压迫所致,也可直接通过动脉瘤样扩张或老年动脉粥样硬化改变而压迫气管或食管;
婴幼儿因气管壁较薄,管壁平滑肌不发达,因此易产生外在压迫而出现呼吸窘迫等症状。
典型征象
CT 平扫见气管右侧类圆形结节影,易误诊,但连续层面观察见类圆形结节行走于食管后方,少数行走于食管气管间或气管前,往右上方走行向腋窝方向延伸;
CT 血管造影见迷走右锁骨下动脉起始于主动脉弓或降主动脉;
MIP 冠状位显示主动脉弓下缘“象鼻样”发出的血管,常由左下向右越过中线向上延伸,轴位则常为“鸟嘴样”改变。
治疗难点
当主动脉病变累及到弓部,ASRA对治疗有很大的影响,甚至是治疗的主要难点。临床通常采取的方法有以下几种:
1 TEVAR直接覆盖迷走右锁骨下动脉
2 右侧颈动脉-锁骨下动脉搭桥+TEVAR手术
3 开胸手术转流
4 烟囱支架
5 分支支架
6 潜望镜支架

开胸手术或者杂交手术,一般是在TEVAR术中先将迷走右锁骨下动脉覆盖,之后做右锁骨下动脉—右颈动脉转流。有不少文献报道一些成功的迷走右锁骨下动脉分支支架手术。

病例分享
案例1
患者,男,59岁,突发胸背部疼痛7小时入院。
诊断:B型主动脉夹层、主动脉壁间血肿、迷走右锁骨下动脉。
手术方案:TEVAR+左锁骨下动脉重建+右锁骨下动脉重建,初步考虑用针刺原位开窗。




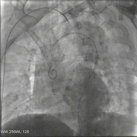
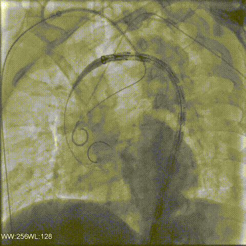
手术过程:
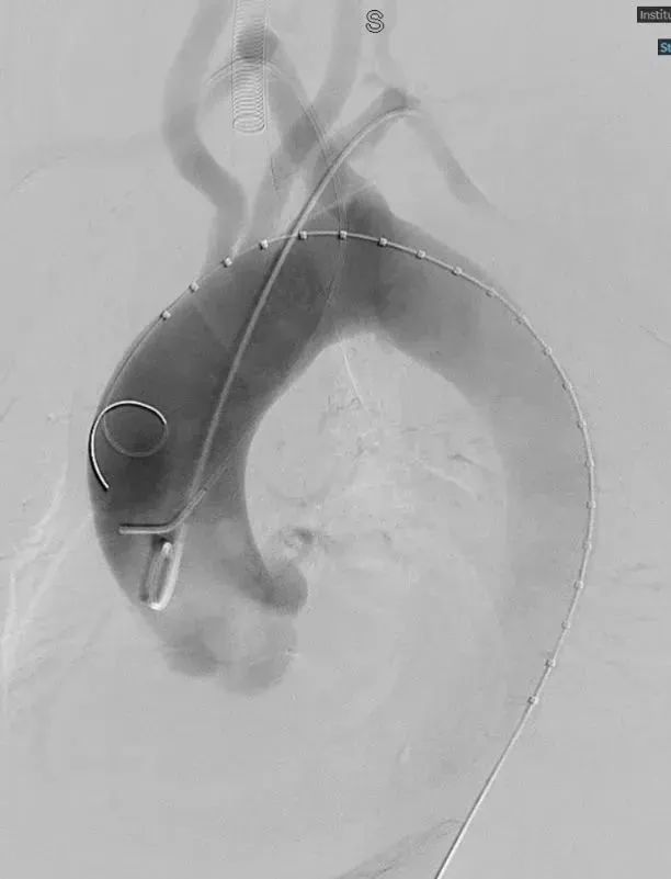
1.经左侧肱动脉和右侧肱动脉切开置管,然后右侧股动脉穿刺,覆膜支架沿左颈总动脉后缘释放,行TEVAR术。之后预备行右侧左锁骨下动脉原位开窗。


2.ARSA造影,尝试右侧针刺开窗。但由于该部位角度不好且路线较长,反复尝试操作后开窗非常困难。为避免发生血管夹层,果断放弃该操作。


3.左侧股动脉穿刺,导丝导管到达主动脉部位,利用Fustar引导,造影定位,在右锁骨下动脉开口膨大处进行顺序穿刺。同时利用右锁骨下动脉导管冒烟定位,顺利穿刺并成功。
右锁骨下动脉置入Viabahn支架和Smart Control支架,左锁骨下动脉同样进行针刺开窗,最终造影情况良好。


案例2
患者,男,56岁,腰背部疼痛4.5小时入院。
诊断:B型主动脉夹层、高血压、迷走右锁骨下动脉。
手术方案:TEVAR+迷走右锁骨下动脉烟囱+左锁骨下动脉烟囱或开窗(如果右侧烟囱不成功,可做右侧颈动脉-右锁骨下动脉人工血管搭桥)。


手术过程:
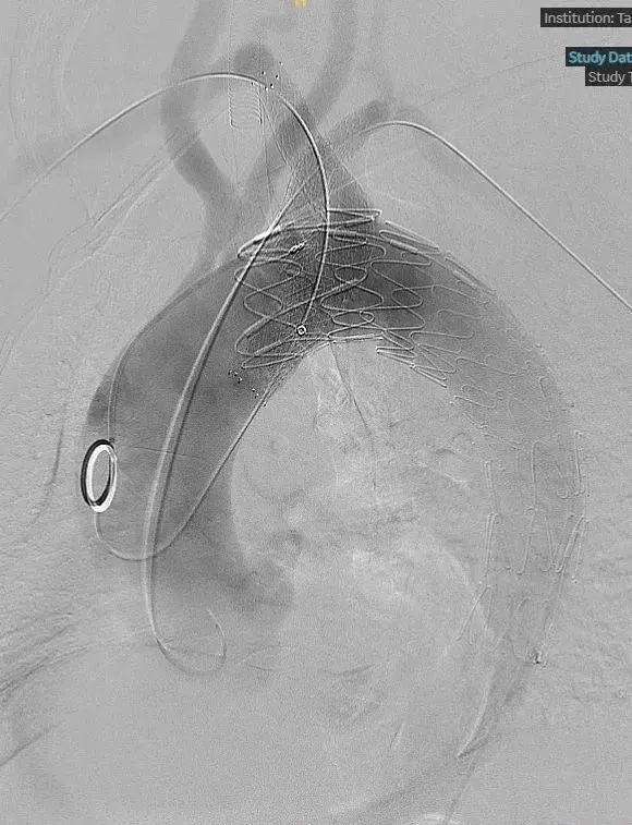
置入覆膜大支架;
右锁骨下动脉置入Viabahn和Smart Control支架(烟囱);
左侧置入Viabahn支架(烟囱);
术后造影复查,右侧迷走锁骨下动脉的烟囱支架角度平顺,血流通畅。
左右滑动查看更多


术后随访:
6个月后再次随访,CTA影像图显示血管形态良好,血管支架通畅。


案例3
患者,女,72岁。
诊断:主动脉夹层,壁间血肿。
手术方案:TEVAR+右侧和左侧锁骨下烟囱。
手术结果良好,无任何内漏。
左右滑动查看更多
点击观看视频回放
小结
► 主动脉夹层累及到弓部病变,合并ARSA,会对手术方式造成影响,甚至是较严重的影响。
► 术前应熟悉CTA影像,迷走右锁骨下动脉由于特殊的汇入角度,TEVAR术中行原位针刺开窗并不容易。总结临床操作经验,平行支架技术可行。
讲者介绍
END

联系我们:13910984996

投稿邮箱:cecappdrjx@163.com








