【优化TEVAR疗效】专场
演讲题目:
主动脉夹层腔内治疗三阶段合理规划
演讲嘉宾:
刘晓兵 教授
单位:
上海交通大学医学院附属第九人民医院
背景知识
主动脉夹层及治疗
典型的主动脉夹层(aortic dissection,AD)是由于各种原因导致的主动脉内膜撕裂,血液流入动脉壁间,主动脉壁分层、分离,血管腔被游离的内膜片分隔为真腔和假腔。主动脉内膜上的血流入口即为原发破口,在主动脉远端可有继发破口,使真假腔之间血流相通。假腔内可以是持续的血流灌注,也可因为血液淤滞导致血栓化。
目前,随着腔内技术的成熟和器械的不断进步,腔内治疗已取代开放手术成为首选治疗方式。胸主动脉腔内修复术(thoracic endovascular aortic repair,TEVAR)治疗的主动脉相关不良事件风险和病死率更低。TEVAR的原理是采用腔内移植物覆盖原发破口,使血液流向真腔,重塑真腔,改善远端器官、肢体血供,促进假腔血栓化和主动脉重构。单纯TEVAR适用于锚定区充足(原发破口距离左锁骨下动脉开口>1.5 cm)、非遗传性结缔组织病性TBAD。值得注意的是,锚定区不足(<1.5 cm)和遗传性结缔组织病并非TEVAR的绝对禁忌证。
《Stanford B型主动脉夹层诊断和治疗中国专家共识(2022版)》
【 第一阶段 】
近端健康锚定区拓展及远端锚定区延伸
在第一阶段可以看到大部分近端锚定区不健康,能够真正做到无分支影响的TEVAR比较少,大部分为不良弓形或者支架释放完有鸟嘴现象等,涉及到锚定区优化问题。TEVAR最佳近端锚定区需要有足够的锚定长度和健康的血管壁,尽可能减少鸟嘴、内漏和逆行夹层的形成。




下面数据显示,临床大部分病例至少一个弓上分支血管需要重建。

锚定区拓展策略
减少老问题,避免新问题,如锚定区不足带来的内漏,或锚定区延长产生新的逆撕等。
向下滑动查看所有内容
对于0区甚至到A 区涉及到冠脉和窦部,建议做杂交手术较好。

病例分享1
患者女,82岁,主动脉夹层,突发胸背痛1天。该患者行保留左锁骨下动脉的杂交手术。若以后需要做内脏动脉重建,需要建立重要通路,I期在近端锚定区做杂交手术也相对安全。



研究:
回顾性分析了43例进行激光原位开窗-TEVAR手术治疗A型夹层的患者及多个病例的技术细节。对于远端锚定区,也尽量一期做覆膜支架的延伸,限制性覆膜支架对于患者的真腔灌注,重塑和血栓化也会有较好的结果,降低截瘫的风险,同时降低远期内脏再干预率。

【 第二阶段 】
内脏区真腔重塑及分支动脉重建
完成第一阶段的规划,第二阶段发生概率也会相对降低。但有一些患者还是需要第二阶段的内脏区动脉腔内治疗。
现在国内还是改装支架为主,可以在3D打印模型辅助下进行覆膜支架体外预开窗。由于夹层动脉瘤往往真腔狭窄,支架植入后解剖形态易改变,造成开窗窗口与动脉开口不匹配。因此,3D模型打印可以使体外预开窗成功率更高。


研究:
本研究回顾性分析上海交通大学医学院附属第九人民医院血管外科自2018年6月-2022年3月,基于CTA动脉三维重建及3D打印,应用预开窗/分支支架腔内修复术重建内脏分支技术治疗主动脉夹层患者20例,随访无脏器缺血、下肢缺血等并发症和全因死亡发生。


【 第三阶段 】
主髂段真腔重塑及髂内动脉重建
一般在第二阶段后,主髂段往往也需要处理,但建议分期手术而非一次进行EVAR术,因为有可能增加脊髓缺血的风险。
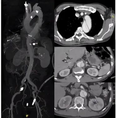
病例分享2
该患者为三期手术,除了第一次在外院手术外,之后在本院行两次手术。在第二期手术时,进行主髂和内脏区四分支重建术。1月后行第三期主髂段手术,此时可以清楚观察到潜在的内漏,并在第三期手术行内漏补救措施。该内漏是由内脏区右肾动脉真假腔供血引起,用Viabahn延长右肾动脉来做覆盖。在近期随访中,内脏区的内漏完全消失了,正好体现第三阶段主髂段进行修补的理念。

三期术后半年随访

6月后,lc型内漏的补救处理


病例分享3
患者男性,63岁,急性胸痛5小时入院。该患者从主动脉弓部直到髂动脉撕裂的 B型夹层,为全程三阶段管理的病例。第一阶段进行降主动脉几乎全程覆盖。在第二阶段真腔狭小,下肢有缺血的表现,行3D打印模型下的F/B EVAR手术。第三阶段在做完主髂段后再做主髂,尽量保髂内动脉重建。采用激光原位技术将双侧髂内动脉全部保留,减少髂内动脉对脊髓缺血的影响。手术中发现出现假腔II型内漏,内漏相对较小可以随访观察。最近随访观察肠系膜下动脉内漏完全消失。
第一次治疗(2021.02.01)

第二次治疗(2021.09.02)




第三次治疗(2021.10.28)



第二次治疗(2021.09.02)

术后复查(20220702)

II型内漏大部分消失

点击观看视频回放
小结
主动脉夹层腔内治疗三阶段规划目前尚有一些争议,下面问题是我在临床治疗中经常面对且需要认真思考的问题,需要有更多病例来验证三阶段合理的规划。
近端健康锚定区的定义及覆盖区域;
远端锚定区的延伸范围及使用支架;
内脏区干预的指征、时机和策略;
主髂区的干预时机和策略;
脊髓缺血的顾虑与防治策略;
全腔内治疗后内漏的干预和策略;
讲者介绍
END

联系我们:13910984996

投稿邮箱:cecappdrjx@163.com






